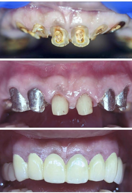
Full mouth rehabilitation also known as full mouth reconstruction or restoration—is a comprehensive dental treatment designed to restore the health, function, and aesthetics of a patient’s entire mouth. It addresses multiple dental concerns such as missing teeth, tooth decay, gum disease, and bite misalignment, often through a combination of restorative, cosmetic, and surgical procedures.
At Smile Studio Dental Clinic, we approach full mouth rehabilitation with a philosophy of conservative and minimally invasive dentistry. We believe every tooth deserves a fighting chance and are committed to preserving the natural dentition whenever possible.
Our treatment process involves a multidisciplinary team of specialists, each contributing their expertise to ensure precision and long-term success
By integrating specialized care at every stage, we ensure that each aspect of the rehabilitation is carried out with excellence, leading to predictable, long-lasting results with minimal chances of failure.
Information on this website is for general purposes only and does not replace professional dental advice, diagnosis, or treatment.